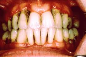
Pueden presentarse todos o algunos de los siguientes síntomas:
–>Encías sangrantes cuando cepillas los dientes, o a veces de manera espontánea
–>Enrojecimiento de las encías.
–>Encías separadas del diente
–>Aparición de abcesos, con supuración entre los dientes y las encías
–>Mal aliento que no desaparece (halitosis)
–>Dientes flojos (movilidad)
–>Sensación de dientes más largos y huecos entre ellos
–>Aumento de la sensación dentaria al frío
–>Enrojecimiento de las encías.
–>Encías separadas del diente
–>Aparición de abcesos, con supuración entre los dientes y las encías
–>Mal aliento que no desaparece (halitosis)
–>Dientes flojos (movilidad)
–>Sensación de dientes más largos y huecos entre ellos
–>Aumento de la sensación dentaria al frío
Al comienzo, la placa dentobacteriana irrita las encías. Si se endurece, se transforma en sarro, y se inicia la destrucción del tejido que conecta el diente con la encía (gingivitis). Con la retracción de la encía se forman grandes huecos entre la encía y el diente, en los que se acumula placa. Si esto continúa se daña el hueso y los dientes se aflojan y caen o deben ser extraídos.
Vía: FaceDental
No hay comentarios:
Publicar un comentario